
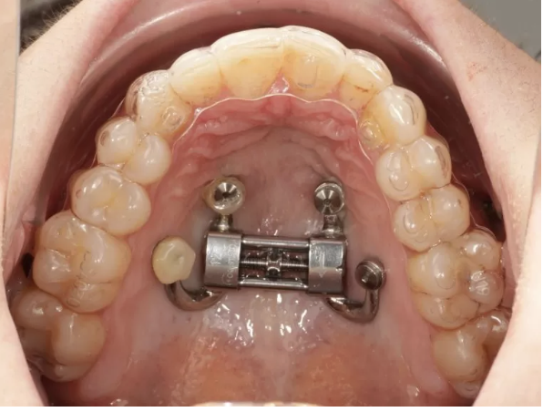
DOME, MARPE, SARPE, MSE, RPE: This sounds like alphabet soup for expanding the palate (upper jaw, aka maxilla). In general, these terms are distinguishing different protocols for expanding the adult palate. In the past, expanding the adult palate was done rapidly and with pre-made appliances installed on both the bone of the palate and the molars; dentistry has evolved to customize the appliances with MARPE, and now we have DOME Zero.
DOME Zero is palate level expansion combined with clear dental aligners. The palate literally gets bigger and the teeth are orthodontically moved at the same time. Key benefits over MARPE include it is more comfortable, no gaps between the front teeth and the bite is balanced and the smile esthetics are improved all at the same time. In the past MARPE expansion was done first resulting in a large space between the front teeth. And then later the braces or Invisalign would be done.

DOME Zero is special in that the entire case is planned from the beginning, with the orthodontic tooth movement being built into the expansion phase. We accomplish this using custom designed bone-borne expansion appliances to move the halves of the maxilla (palate) laterally, while gently and slowly moving the teeth into their final position within that bone.
The benefits of treating cases this way are many: first of all, the very act of orthodontically closing spaces between teeth has an inward pull on the two halves of the palate. It is not only counterintuitive, but actually counterproductive to do all the bony expansion in one phase and all the consolidation of spaces between teeth in a second phase. Further, it is both easier and a lot more comfortable to the patient to control the position of the teeth with the orthodontics while the spaces are minute, rather than wait until the space is large – that would require a lot more pressure. Finally, in addition to considering the final position of the teeth, it is critical to also consider the stressors on the gum tissue; concomitant treatment of the orthodontics and the orthopedics reduces the likelihood of gum recession and other problems.
For further explanation of the DOME Zero, please see my mentor Dr. Gary Adams’ YouTube videos.https://www.youtube.com/@TMJSleepandBreatheCenter
